Menü
Termin buchen Doctolib

Endodontie

Zahnnerventzündungen gehören zu den schlimmsten Schmerzen, die der Mensch erleiden kann. Das Nehmen dieser Schmerzen gehört zu unserer zentralen Aufgabe. Im Falle einer notwendigen Wurzelkanalbehandlung setzen wir alles daran, dass die Zähne erhalten bleiben.

Wurzelkanalbehandlung

Wenn die Schmerzen genommen sind und Sie die Entscheidung treffen, Ihre Zähne erhalten zu wollen, dann beginnt der Hauptteil der Wurzelbehandlung und der ist nahezu schmerzfrei.

Bei uns steht Ihnen für Wurzelkanalbehandlungen ein eigens für diese spezielle Behandlung ausgestatteter Raum zur Verfügung. In diesem befinden sich sowohl ein Operationsmikroskop als auch spezifische Geräte, die zur technischen Umsetzung eines optimalen Behandlungsergebnisses beitragen. Das Ergebnis: Im Falle einer notwendigen Wurzelkanalbehandlung setzen wir alles daran, dass Sie Ihre eigenen Zähne behalten, benutzen und damit lachen können.

Rasante Entwicklungen auf dem Gebiet der Wurzelkanalbehandlung ermöglichen es heute, selbst massiv zerstörte und wurzeltote Zähne zu retten. Durch den Einsatz modernster Technik wie dem Operationsmikroskop, hochflexiblen Nickel-Titan-Feilen und spezieller Auffüllgeräte können Zähne gerettet werden, die bis vor wenigen Jahren nur die Aussicht auf eine Zangenextraktion hatten. Groß angelegte Studien haben gezeigt, dass die Erfolgsaussichten bei einer Erstbehandlung bei 90 % liegen können.

Der infizierte Zahnnerv

Der Zahn eines Menschen besteht aus einer im Mund sichtbaren Zahnkrone und einer oder mehrerer Zahnwurzel/n, die im Knochen verankert sind. Im Inneren des Zahnes liegt ein verzweigtes Wurzelkanalsystem vor, in dem sich der Zahnnerv befindet.

Haben sich an einem Zahn Bakterien im Sinne einer Karies angesiedelt, so besteht die Möglichkeit, dass der Zahnnerv infiziert wird (Bild Mitte). Als Folge dessen reagiert der Zahnnerv mit einer Entzündung, die zu einem Absterben des Nervens führen kann. Die Bakterien können sich dann im Wurzelkanalsystem innerhalb des abgestorbenen Nervgewebes vermehren und im Kieferknochen eine Entzündung hervorrufen. Diese Entzündung kann zu einer häufig zu beobachtenden Aufklopfempfindlichkeit des erkrankten Zahnes und einem Anschwellen der betroffenen Region führen. In seltenen Fällen können aber auch Unfälle oder zahnärztliche Behandlungen Ursache für die Erkrankung eines Zahnnervs sein.

Die mikroskopische Wurzelkanalbehandlung

Es ist immer besser zu sehen, was man tut. Nach dieser Maxime werden bei uns alle Arbeiten am Endodont, dem Inneren des Zahnes, durchgeführt. Mit Hilfe unserer jahrelangen Erfahrung und unseres Operationsmikroskops kann Ihr Zahn optimal von Bakterien und abgestorbenen Gewebsresten befreit werden.

Die Vorbereitung

Natürlich steht die Entfernung der Bakterien aus dem Wurzelkanalsystem im Vordergrund jeder endodontischen Behandlung. Dazu wird Ihr Zahn zunächst betäubt und anschließend durch ein Spanngummi von der Mundhöhle isoliert, um ein sauberes und keimarmes Arbeiten zu gewährleisten. Eine vorhandene Karies sowie alte Füllungsreste werden aus der Zahnkrone entfernt. Gleichzeitig findet die Freilegung der Kanaleingänge statt. Diese Kanaleingänge werden ausreichend aufgeweitet, damit die tief liegenden Kanalareale mit Instrumenten und Spülflüssigkeit gut zu erreichen sind.

Die Aufbereitung, Reinigung und Desinfektion

Mittels hochmoderner maschineller Nickel-Titan Feilen, aber auch traditioneller Handfeilen, werden die Wurzelkanäle unter Beachtung Ihrer ursprünglichen Anatomie instrumentiert. Sehr großen Wert legen wir dabei auf die ausreichende Spülung mit speziellen Flüssigkeiten. Um die Wirkung der Spüllösungen zu erhöhen, werden diese mittels Ultraschall aktiviert. Dieses Prozedere findet nach einem Spülprotokoll statt, um Ihnen eine Desinfektion nach dem neuesten Stand der Wissenschaft zu gewährleisten.

Ziel dieser Maßnahmen ist es, das ursprüngliche Kanalsystem möglichst in einen keimarmen und sauberen Zustand zu bringen. Dieses hört sich zunächst sehr einfach an, doch bergen z. B. kleine Seitenkanäle die Gefahr einer möglichen Reinfektion (siehe Pfeile in Bild links und rechts). Auch diese müssen sorgfältig gereinigt und möglichst perfekt aufgefüllt werden. Aus diesem Grund nehmen wir uns für Ihren Zahn die entsprechende Zeit, um die oben beschriebene chemomechanische Desinfektion durchzuführen.

Manchmal weisen die Zähne auch komplizierte anatomische Merkmale auf, die wir mit besonderer Sorgfalt behandeln müssen. Dazu gehören zum Beispiel eine überdurchschnittliche Anzahl an Wurzelkanälen (Bild links) oder starke Wurzelkrümmungen (Bild rechts): Oberer Backenzahn mit trotz starker Wurzelkrümmung erfolgreich gereinigten und aufgefülltem Wurzelkanalsystem.

Nach vollständiger Instrumentation und Desinfektion des Wurzelkanalsystems muss das entstandene Hohlraumsystem mit einem Füllmaterial bakteriendicht versiegelt werden. Optimale Ergebnisse lassen sich mit der sogenannten dreidimensionalen thermoplastischen Obturation erreichen: Eine Art Gummi wird in erwärmten, fließfähigem Zustand in die Kanäle eingebracht und durch nachfolgender Kompression in die Hohlräume hineingepresst. Anschließend wird der Zahn mit einem stabilen Aufbau fest verschlossen (Bild links). Dieser dient auch als Vorbereitung für eine spätere eventuell notwendige Überkronung (Bild rechts). In den folgenden Monaten heilt die Entzündung um die Wurzelspitzen des jeweiligen Zahnes ab, der zuvor geschwundene Knochen regeneriert sich wieder (Fallbeispiel im nächsten Abschnitt)

Bild links: Sehr große Entzündung an einem unteren Backenzahn mit durch die Entzündung kompliziert „angelösten“ Wurzelspitzen.

Bild rechts: Nach speziellem Einsatz von „Reparaturzement“ und abschließender Desinfektion und Auffüllen des Wurzelkanalsystems abgeklungene Entzündung mit einhergehender Regeneration des Knochens.

Wurzelkanalrevision

Das Ziel einer Wurzelkanalbehandlung ist die Entfernung von Bakterien und abgestorbenem Gewebe aus dem Zahninneren. Dieses gelingt leider nicht immer. Gründe hierfür können z. B. mit herkömmlicher Technik sehr schwierig zu behandelnde anatomische Gegebenheiten des Wurzelkanalsystems sein. Eine erneute Infektion durch undichte Füllungen oder Zahnersatz sind neben besonders hartnäckigen Keimen ebenfalls für das Aufflammen von Beschwerden verantwortlich. Gelegentlich müssen aber auch beschwerdefreie, wurzelkanalbehandelte Zähne revidiert werden. Dieses z. B., wenn eine bakteriell bedingte chronische Entzündung an der Wurzelspitze vorliegt. Oder im Falle einer Neuversorgung mit Zahnersatz, wenn die Wurzelfüllung sich röntgenologisch als ungenügend, d. h. zum Beispiel zu kurz oder undicht darstellt.

In jedem dieser Fälle muss die bestehende Wurzelkanalfüllung entfernt werden. Durch neue Techniken können die Wurzelkanalsysteme erneut und spezifisch gereinigt und desinfiziert werden. Dieser Prozess wird als Wurzelkanalrevision bezeichnet.

Die Mehrzahl der Wurzelkanalrevisionen kann ohne Betäubung und jeglichen Schmerz durchgeführt werden.

Wie sieht das im Genaueren aus?

Der Ablauf einer Wurzelkanalrevision entspricht ungefähr dem einer Wurzelkanalbehandlung. Zunächst werden eventuell vorhandene Karies oder alte undichte Füllungen entfernt. Mit viel Sorgfalt wird die Zahnkrone von innen gesäubert und die Wurzelkanaleingänge mit der infizierten Wurzelkanalfüllung freigelegt. Mit Spezialinstrumenten werden dann die vorhandenen Wurzelfüllungen entfernt. Oftmals finden sich auch noch weitere bisher unentdeckte Wurzelkanäle, die ebenfalls ursächlich für das Auftreten von Beschwerden sein können. Besondere Bedeutung nimmt die Spülung der Wurzelkanäle ein: Ein für Wurzelrevisionen spezifisch entwickeltes Spülprotokoll soll bei der Eliminierung der Restbakterien helfen.

Ist das Wurzelkanalsystem erneut gereinigt und desinfiziert worden, so kann es anschließend mit einer neuen Wurzelkanalfüllung versehen werden. Diese Wurzelkanalfüllung erfolgt wie bei der Wurzelkanalbehandlung mittels der sogenannten dreidimensionalen thermoplastischen Obturation. Alle vorhandenen Hohlräume werden dadurch versiegelt. Im Idealfall lässt sich nach mehreren Monaten ein Rückgang der eventuell vorhandenen Entzündungszeichen an den Wurzelspitzen feststellen.

Fallbeispiel 1

Oberer beschwerdefreier Schneidezahn mit sichtbar zu „kurzer“ Wurzelfüllung, die nicht an die Wurzelspitze heranreicht und sich sehr undicht darstellt. Der Zahn soll eine neue Krone bekommen (Bild links).

Im Zuge der Revision entfernter alter metallischer Wurzelkanalstift (Bild Mitte).

Zustand nach Wurzelkanalrevision, d. h. Desinfektion, erneute Wurzelfüllung und moderner Wurzelkanalstift aus Glasfaser (Bild rechts).

Fallbeispiel 2

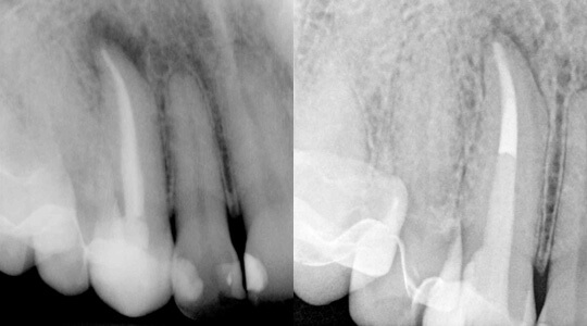
Oberer druckschmerzhafter Eckzahn mit röntgenologisch unauffälliger Wurzelfüllung (3 Jahren andernorts behandelt). Entzündung an der Wurzelspitze, die sich im Röntgenbild als schwarzes Areal am Ende der Wurzel darstellt (Bild links).

Zustand nach Wurzelkanalrevision, d. h. Desinfektion, erneute Wurzelfüllung und moderner Wurzelkanalstift aus Glasfaser. Dieses Röntgenbild wurde 4 Monate nach Behandlung aufgenommen, die Entzündung an der Wurzelspitze ist sichtbar rückläufig (Bild rechts).

Die schwierigen Fälle

In manchen Fällen hat man bei der Wurzelkanalrevision mit besonders schwierigen Umständen zu kämpfen. Dieses z. B. aufgrund von Materialermüdung abgebrochener Wurzelkanalinstrumente. Die Entfernung dieser Instrumente ist oftmals möglich, gleichzeitig jedoch sehr zeitaufwändig. In jedem Fall wird die individuelle Situation Ihres Zahnes vor jeder Behandlung von uns analysiert und mit Ihnen besprochen. Eine ehrliche Einschätzung zur Prognose Ihres Zahnes wird Ihnen die Entscheidung zum Erhalt oder Nichterhalt leicht machen.

Bild links: Oberer Backenzahn mit abgebrochenem Instrument in der vorderen-äußeren Wurzel.

Bild rechts: Nach Entfernung des Instrumentenfragmentes ist die Instrumentierung und Reinigung des Wurzelkanals möglich (Röntgenkontrastaufnahme).

Wurzelspitzenresektion

Die Wurzelspitzenresektion stellt die letzte Möglichkeit zum Erhalt eines Zahnes dar. Hat sowohl die Wurzelkanalbehandlung als auch die Wurzelkanalrevision zu keinem befriedigenden Ergebnis geführt, so hat man mit der Wurzelspitzenresektion oftmals die Möglichkeit, nicht gelöste Probleme zu beseitigen.

Die Indikationen für eine Wurzelspitzenresektion

Sind die an einem wurzelkanalbehandelten Zahn bestehenden Beschwerden einer unzureichenden Desinfektion des Wurzelkanalsystems zuzuschreiben, so gilt grundsätzlich die Regel, dass vor der Wurzelspitzenresektion immer erst die Wurzelkanalrevision erfolgen sollte. Eine Wurzelspitzenresektion ohne vorherige Reinigung der darüber liegenden Kanalanteile ist nicht erfolgversprechend.

In seltenen Fällen ist eine Infektion des Wurzelkanalsystems aufgrund komplexer anatomischer Gegebenheiten jedoch sehr hartnäckig und auch trotz einer Wurzelkanalrevision nicht in den Griff zu bekommen. Auch das Vorhandensein von echten Zysten, welche an den Wurzelspitzen anhaften, kann eine Indikation für eine Wurzelspitzenresektion darstellen (siehe Bild links). Sehr tief abgebrochene Wurzelkanalinstrumente, die sich nicht über einen Zugang durch die Krone entfernen lassen, können über eine Wurzelspitzenresektion entfernt werden. Auch das gelegentlich vorkommende Überpressen von Wurzelkanalfüllmaterial kann mittels der Resektion korrigiert werden.

Die Behandlung

Dank hochmoderner Anästhetika ist auch diese Behandlung meist schmerzfrei. Durch einen kleinen Zahnfleischschnitt wird die Wurzelspitze dargestellt.

Die Wurzelspitze mitsamt ihren feinen Verästelungen des Wurzelkanalsystems wird unter mikroskopischer Visualisierung leicht gekürzt, entzündliche Prozesse, Zysten oder überpresstes Füllungsmaterial werden gleichzeitig mit entfernt (Bild links).

Mittels spezieller Ultraschallinstrumente wird die Wurzel anschließend von der Rückseite bearbeitet und mit einem Spezialzement versiegelt (Bild Mitte).

Abschließend wird der Zahnfleischschnitt mit sehr feinen Fäden vernäht (Bild rechts).

Im Kontrollverlauf wird im Idealfall die Regeneration des Knochens und die Ausheilung der Entzündung zu beobachten sein.