Menü
Termin buchen Doctolib

Implantologie

Implantate sind künstliche Zahnwurzeln, die in den Knochen eingepflanzt werden. Auf diese können Kronen oder Brücken befestigt werden, um wieder fest beißen zu können. Auch vorhandenem herausnehmbarem Zahnersatz kann mit Hilfe von Implantaten mehr Halt im Mund gegeben werden.

Zahnimplantate

Sie haben einen oder vielleicht auch mehrere Zähne verloren? Dann ersetzen Zahnimplantate genau das: Zähne.

Ein wichtiger Aspekt bei der Implantatversorgungen aus unserer Praxis ist, dass Sie Implantat und Suprakonstruktion aus einer Hand erhalten. Unser zahntechnisches Labor ist der Praxis angegliedert und kümmert sich mit Liebe zum Detail um die prothetische Versorgung.

  • Die moderne Implantologie begann 1965 mit den ersten von Prof. Branemark gesetzten wurzelförmigen Titanimplantaten.
  • Für Zahnimplantate müssen – im Gegensatz zu zahngetragenen Brückenversorgungen – keine Zähne beschliffen werden.
  • Zahnimplantate entlasten eigene Zähne, indem sie Kaudruck auffangen.
  • Implantate müssen meistens zwischen 3-6 Monaten einheilen.
  • Zahnimplantate sind entweder aus Titan oder aus Keramik. Durch ihr Design und ihre Oberflächenbeschichtung ist ein dauerhafter Halt im Kiefer möglich.
  • Die Überlebenswahrscheinlichkeit von Implantaten liegt heute über einen Zeitraum von 15-20 Jahren bei 95%. Eine längere Liegedauer ist durchaus möglich.
  • Der Erfolg ist mit abhängig von einer regelmäßigen Prophylaxe.

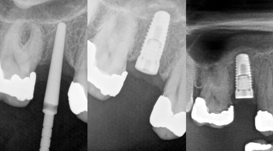
Zahnlücke im Oberkiefer, zwei Zähne fehlen. Die Nachbarzähne sind für eine Brückenversorgung ungeeignet.

Nach der Röntgenuntersuchung und Vermessung des Knochenangebotes erfolgte eine Insertion von zwei Implantaten, d. h. künstlichen Zahnwurzeln. Nach einer Einheilzeit von 4 Monaten konnten die Zahnkronen hergestellt werden.

Keramikimplantate

Keramik besitzt im Vergleich zu anderen Werkstoffen eine hohe Biokompatibilität. So werden z. B. Zahnkronen und Brücken vermehrt aus vollkeramischen Materialien hergestellt. Reizungen des Zahnfleisches sind im verminderten Umfang festzustellen.

Trotz überlegener Materialeigenschaften haben sich Keramikimplantate im Praxisalltag noch nicht etabliert. Dies liegt jedoch nicht am Werkstoff selbst, sondern vielmehr am Design und dem Handling der heute auf dem Markt verfügbaren Keramikimplantatsysteme. Komplizierte Verklebungen von Implantat und Krone, empfindliches Verhalten auf Belastung in der Einheilphase und fehlende klinische Untersuchungen führen häufig dazu, dass auf bewährte Titanimplantate zurückgegriffen wird.

Dem gegenüber steht der stetig wachsende Wunsch der Patienten nach zahnfarbenen, hoch biokompatiblen Keramikimplantaten. Die Industrie versucht dieser Nachfrage gerecht zu werden und hat insbesondere in den letzten Jahren die Technologie weit vorangetrieben. Durch die neueste Entwicklung von zweiteiligen verschraubten Keramikimplantaten können wir Ihnen nun guten Gewissens eine Alternative zum Titanimplantat anbieten.

Profitieren Sie davon, dass wir uns auf dem Gebiet der Keramikimplantate auf dem aktuellsten Stand halten und sprechen Sie uns bei Bedarf gerne darauf an.

Sofortimplantate

Sie haben einen nicht mehr zu erhaltenden Zahn im Mund? Ist dieser stark zerstört, macht Ihnen jedoch keine Beschwerden? Sind auch im Röntgenbild keine entzündlichen Prozesse zu erkennen? So besteht die Möglichkeit, diesen Zahn innerhalb einer Sitzung gegen eine künstliche Zahnwurzel auszutauschen.

  • Verkürzung der Behandlungsdauer um Monate, da auf ein Verheilen der Wunde nach dem Entfernen des Zahnes verzichtet werden kann.
  • Schnellere Wiederherstellung der Funktion und Ästhetik.
  • Bündelung zweier operativer Eingriffe in eine Sitzung.

Wie bei der allgemeinen Implantation muss auch ein Sofortimplantat 3-6 Monate einheilen. Nach dieser Einheilzeit kann das Implantat mit einer Krone versorgt werden.

Ein zerbrochener, oberer kleiner Backenzahn.

Der Zahn wurde entfernt, eine künstliche Zahnwurzel wurde sofort eingesetzt.

Vorteil: Die gesunden Nachbarzähne müssen nicht für eine Brücke angetastet werden. Nach ca. 4 Monaten kann dieses Implantat mit einer Krone versorgt werden.

Knochenaufbau

Ein Zahnimplantat braucht genau wie der natürliche Zahn ausreichend knöchernen Halt.

Wurde nach der Zahnentfernung der Kieferbereich zunächst so belassen und nicht mit einem Implantat versorgt, so baut sich der Knochen in diesem Bereich oftmals ab, da er aufgrund des fehlenden Zahnes nicht mehr benötigt wird. Von daher sollte nach jeder Zahnentfernung zeitnah ein Implantat gesetzt werden, da dann meist kein aufwändiger Knochenaufbau betrieben werden muss. Das inserierte Implantat hält zudem den Knochenabbau auf.

Ist eine frühzeitige implantologische Versorgung – aus was für Gründen auch immer – nicht erfolgt, so gibt es keinen Grund zu verzweifeln. Der fehlende Knochen kann mittels Eigenmaterial und/oder Fremdmaterial ersetzt werden.

Wir bieten Ihnen in unserer Praxis verschiedene Möglichkeiten des Knochenaufbaus an. Grundsätzlich unterscheiden wir den vertikalen vom horizontalen Aufbau. Zum vertikalen Aufbau gehört in erster Linie der Sinuslift, der auch Sinusbodenelevation oder einfach Kieferhöhlenaufbau genannt wird. Diesen bieten wir Ihnen je nach Ausgangssituation als internen oder auch externen Sinuslift an. Der horizontale Aufbau dient der Verbreiterung des Kieferkammes. Durch Anlagerung von Eigenknochen oder Fremdmaterial wird dafür gesorgt, dass das Implantat ringsum von Knochen umgeben ist und dadurch maximale Stabilität gewährleistet wird. Zusätzlich wird der Entstehung von Zahnfleisch- und Knochenentzündungen am Implantat, der sogenannten Periimplantitis, vorgebeugt.

Unzureichende Knochenhöhe bei Implantation eines kleinen oberen Backenzahnes. Einbringen eines Markierungspfostens zur Lagebestimmung.

Durchführung eines minimalinvasiven internen Sinuslift und zeitgleiche Insertion eines Zahnimplantates. Der Boden der Kieferhöhle wurde wie auf dem Röntgenbild erkennbar nach oben angehoben, damit das Implantat auch im oberen Bereich knöchern einwachsen kann.

Röntgenologische Nachkontrolle nach 4 Monaten. Das Implantat steht optimal im Eigenknochen.

Socket & Ridge Preservation

Zahnverluste gehen oftmals mit einem Verlust der Knochen- und Weichgewebsstrukturen einher. Wurde früher die Heilung der Hart- und Weichgewebe abgewartet und anschließend vor oder mit der Implantation ein Knochen- oder Weichgewebsaufbau durchgeführt, wird heute simultan mit der Zahnentfernung versucht, den Defekt minimalinvasiv zu regenerieren.

Falls ein Zahn nicht zu erhalten ist, legen wir besonderen Wert auf schonende und sorgfältige Zahnentfernung. Der im Knochenbereich entstehende Defekt wird mit speziellen Aufbaumaterialien versorgt und die Wunde dicht verschlossen. Es wird ein Knochenerhalt und eine Stabilisierung der Weichgewebe erreicht.

Über die angewendeten Materialien und Techniken werden Sie gerne vorab von uns individuell beraten.